![]() |
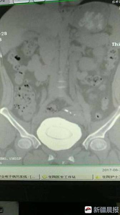
[??? ???? 7? 25?] ?? ??(新疆, ??) ???(阿克蘇, ???)? ?1?????? ?? ?? 1?? ????. ??? ?? ??? ???? ?? 10cm(760g)?? ??? ????? ???. ?? ??? ??? ??? ??? ??? ??? ?? ??? ???? ??.
?? ?? ??? ?? ? ?? “?? ??? ?? ??? ?? ?????. ?? ???? ?? ??? ???? ????? ????? ????. ??? ???? ?? ??? ??????”?? ???. ? ?? ?? ??? ??? ???? ?? ?? ????? ???? ??? ?? ??? ??? ?? ???? ??. ?? ??? ???? ???? ?? ???? ?? ??? ???? ??? ?? ????? ???? ??.
??? ??? ???? ?1?????? ???? ???? ?? ??? ??? ?? ??? ? ?? ??? ??? ????? ?? ?? ?? ???? ??. (??: ???)




?? ??: <????(新疆晨報)>
??: ??? ???? | (Web editor: 王秋雨, 樊海旭)
???? ?? ???(??)? ????? ??? ?? ?, ?? ??, ??, ?? ?? ????.
0 / 0 


??? ????? ?? ?? ?? ?? ??

中 ???? ??…?? ????? ? ?? ??? ??!

?? ??? ?? 100?? ?? ?? ?? ??

???? ??? ?? ?? ????

??? ???? 2021? 中 ?? ???? ?? ??

‘?? ??? ?’? ?? ????? ????? ??? ????

中 ?? ?? ??? 9? ??? ? ??

[??] 2021? ?? ?? ??

中 2020? ‘??????’ ??? ?? ?? ??!

26? ????? ??? ?? ???? ??? ????

?? ???? ?? ??

[??] ??1? ???? ?? ??? ?? ????

[??] ?? 2021? ?? ?? ??

???? ?? ? 30?, ?? 2020? ?? ????!

?? ??? ‘??’ 5?

[??] 2020 CIFTIS ?? ??? & ?? ??

5? “?? ??? ???”, 5? ?? ??!

75?! ??? ?? ??, ???? ? ??

?? ???? 40?, ?? ‘?? 1?’ ??

????? ?! AIIB 5?? ???